Services

Root Canals

Dental Implants

Braces Treatment

Invisalign/Clear Aligners

Pediatric Dental Care

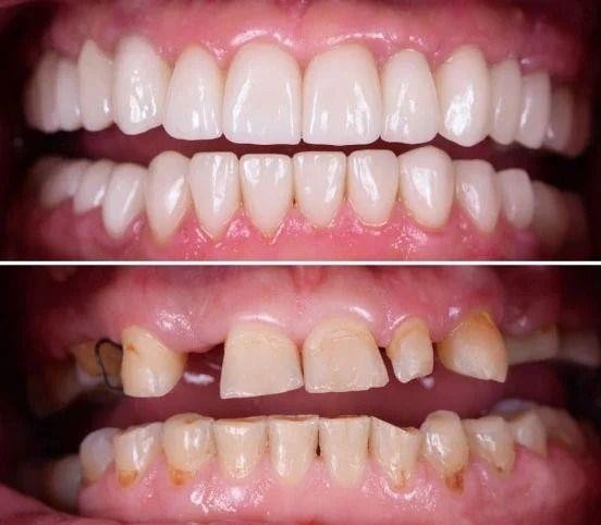
Full Mouth Rehabilitations

Teeth Whitening

Dental Veneers/Laminates

Disimpactions/ Wisdom Tooth Extractions

Complete and Partial Removable Dentures